La chirurgia orale

La chirurgia orale è la branca della Chirurgia Maxillo-Facciale che si occupa della chirurgia della bocca.

La chirurgia orale

La chirurgia orale è quella branca chirurgica che interviene nella risoluzione di manifestazioni patologiche o para-fisiologiche della bocca e delle ossa mascellari. Viene praticata da odontoiatri, medici specializzati in chirurgia odontostomatologica o in chirurgia maxillo-facciale.

Gli interventi possono essere effettuati in regime ambulatoriale od ospedaliero, in anestesia locale e generale, rispettivamente. La maggior parte degli interventi viene eseguita sulla poltrona, riservando il ricovero ospedaliero ai casi più complessi.

I più frequenti interventi chirurgici sono:

• Estrazioni - singole, multiple, semplici e complesse

• Estrazioni dei denti del giudizio - semplici e complesse

• Biopsie per la diagnosi di lesioni orali

• Frenulectomia delle labbra o della lingua

• Apicectomia - la rimozione della punta della radice infetta di un dente devitalizzato

• Chirurgia preprotesica - atta al miglioramento anatomico del cavo orale in vista di una riabilitazione protesica fissa o mobile

• Trattamento delle infezioni odontogene

• Chirurgia parodontale e mucogengivale

• Inserimento di impianti osteointegrati

• Chirurgia del seno masellare

• Disinclusione di denti non erotti

 

La fase chirurgica è preceduta da una fase preoperatoria che comprende l’intervista al paziente circa il motivo della visita e la descrizione di eventuali sintomi (anamnesi patologica recente), valutazione dello stato di salute generale del paziente (anamnesi patologica remota) e descrizione dei farmaci in assunzione (anamnesi farmacologica), esame obiettivo, prescrizione e valutazioni di esami radiografici, valutazione del rapporto costo biologico/beneficio e stesura di un piano di trattamento.




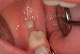
Chirurgia dei terzi molari

Chirurgia dei terzi molari

I terzi molari, conosciuti anche come denti del giudizio, a causa della loro maturazione tardiva, che avviene tra i 18 e i 21 anni, non hanno, il più delle volte, spazio sufficiente per erompere in arcata, configurandosi un quadro noto come disodontiasi. Le ragioni di ciò sono sicuramente il ridotto spazio residuale in arcata dopo l’eruzione dei secondi molari permanenti, l’inclinazione, che spesso devia il tragitto eruttivo a ridosso dei denti attigui, e la loro posizione, che non favorisce i processi di detersione naturale e meccanica con lo spazzolino, favorendo l’accumulo di placca e lo sviluppo di un quadro infiammatorio a carico del dente e dei tessuti circostanti.

Qualora il dente non sia neanche parzialmente erotto si definisce incluso. I quadri patologici che riguardano questa condizione vanno dalla pericoronite, ossia l’infiammazione del sacco pericoronario che circonda la corona del dente, allo sviluppo di un tumore odontogeno. Bisogna tuttavia verificare se, effettivamente, il terzo molare sia causa di dolore, essendo il sintomo dirimente per l’indicazione all’avulsione. Se presente, l’estrazione sarà volta alla risoluzione della sintomatologia dolorosa ed avrà scopo terapeutico. Diversamente, parleremo di indicazione profilattica, quando l’avulsione sarà mirata a scongiurare il rischio che quel dente possa dare patologie future di tipo carioso, parodontale o tumorale, o di indicazione strategica quando sarà parte integrante di una terapia ortodontica o di una riabilitazione protesica specifica.

Oltre a tenere conto dello stato di salute generale del paziente, in questo tipo di estrazione più che in ogni altra, è estremamente importante lo studio del caso e la valutazione della forma, della posizione del dente e delle sue radici rispetto ad alcune strutture importantissime, come il seno mascellare per i molari superiori e il nervo alveolare inferiore per quelli inferiori, dal cui coinvolgimento potrebbero scaturire complicanze più o meno gravi. E’ necessario dunque che il paziente si sottoponga ad esami radiologici come l’OPT, spesso insufficiente in questo tipo di chirurgia o alla TC Cone Beam, che si presta perfettamente a mostrare l’esatta posizione del dente ed i suoi rapporti, in base ai quali il chirurgo valuterà la difficoltà dell’intervento e sarà in grado di prendere dovute precauzioni.

L’intervento è eseguibile ambulatorialmente in anestesia locale e prevede l’allestimento di una breccia chirurgica fino alla visualizzazione del dente. Si esegue una fase di osteotomia, ossia la rimozione, con strumenti rotanti e/o piezoelettrici, dell’osso che ostacola lo scorrimento della corona per permettere la sua mobilizzazione.

A seconda del grado di mobilità del dente, la sua avulsione sarà completata con l’uso di leve e/o pinze.

Qualora il dente risulti essere tenacemente bloccato, sarà tagliato e rimosso in più parti. La cavità ossea residua sarà opportunamente disinfettata e saranno rimosse eventuali lesioni periapicali, in modo da favorirne il riempimento con nuovo tessuto osseo. L’intervento termina con l’applicazione di punti di sutura.

E’ il più delle volte indicata l’assunzione di antibiotico prima dell’intervento a scopo profilattico oltre che una preparazione igienica adeguata del cavo orale.

Dopo l’intervento sarà consegnato al paziente un foglietto illustrativo con le indicazioni per ridurre il dolore postoperatorio, scongiurare il rischio infettivo ed impedire la riapertura della ferita. Il paziente è tenuto a presentarsi ai controlli successivi per verificare la corretta guarigione del sito.

Eventuali complicanze possono essere gonfiore temporaneo, piccoli sanguinamenti, infezioni. Più rara è l’apertura di una comunicazione oro-antrale, risolvibile nella seduta operatoria stessa, o la compromissione temporanea o permanente del nervo alveolare inferiore, causa di consequenziale ipo/anestesia.




Asportazione neoformazioni odontogene

Asportazione neoformazioni odontogene

Le cisti sono delle lesioni patologiche cavitarie delimitate da una capsula fibro-epiteliale e contenenti del materiale fluido.

La quasi totalità di queste lesioni è ascrivibile a due categorie: cisti odontogene, a partenza dai residui epiteliali del dente e cisti non odontogene, di diversa origine. Queste neoformazioni si autoalimentano e tendono ad espandersi a causa di processi idrodinamici e chimici. Entrambe le tipologie di cisti possono svilupparsi senza dare segnali della loro presenza, fino a

raggiungere dimensioni spesso cospicue, ed essere reperto occasionale di esami radiografici effettuati per vari motivi. Nei reperti radiografici sono molte le caratteristiche comuni ai diversi tipi di cisti e minori, ma essenziali, gli elementi che permettono di guidare il clinico alla diagnosi, in base alla quale sarà orientata la terapia. Naturalmente la certezza diagnostica è assicurata dall’esame istopatologico della lesione, una volta asportata. In una formazione adesa alla radice di un dente non vitale o alla corona di un dente in eruzione, i margini netti, il lento accrescimento, l’integrità delle radici vicine guidano verso la diagnosi di cisti odontogena. Margini irregolari e poco netti, riassorbimento radicolare, localizzazione mucosa o ossea lontana dagli elementi dentari sono invece caratteristiche delle cisti non odontogene.

Il trattamento è l’enucleazione: l’intervento è effettuato in sede ambulatoriale e in anestesia locale. Dopo aver scolpito un lembo in corrispondenza della gengiva sovrastante, se presente è rimossa la parete ossea antistante. La lesione è quindi rimossa e la cavità ossea disinfettata e revisionata.

La ferita è suturata. La cavità ossea guarirà spontaneamente. Nelle lesioni odontogene, se il dente è recuperabile, a queste fasi dovrà seguire la devitalizzazione dell’elemento dentario. Qualora invece ciò non fosse possibile, il dente andrà estratto, come nel caso delle cisti follicolari che impediscono l’eruzione di un dente circondandone la corona.

Qualora la neoformazione non fosse odontogena, l’enucleazione sarà accompagnata da procedure che dipendono dalla natura della lesione, poiché le cisti condividono diverse caratteristiche anche con alcuni tumori odontogeni. E’ essenziale pertanto che il paziente si presenti a controllo quando indicato.

L’intervento è, il più delle volte, di semplice esecuzione e necessita solo di una precedente igiene orale professionale e di terapia antibiotica profilattica.

Se eseguite correttamente tutte le procedure di disinfezione e rimozione dei residui epiteliali, è scevro da recidive o particolari complicanze, che dipendono comunque dalla natura, dall’entità e dalla posizione della lesione stessa. Il medico offrirà pertanto al paziente un quadro dettagliato riguardo la propria condizione.

Le lesioni di natura non odontogena sono il più delle volte oggetto della chirurgia maxillo facciale, richiedendo un follow-up e un trattamento più specifico.




Biopsia

Biopsia

 

La biopsia è una procedura chirurgica a scopo diagnostico e talvolta terapeutico che consiste nel prelievo di una porzione di tessuto al fine di eseguirne l’analisi microscopica con la relativa descrizione istologica.

La biopsia viene eseguita per confermare o escludere un sospetto di malattia e per ottenere informazioni su una patologia; in particolare, ci permette di stabilirne la prognosi e di pianificare la terapia o il trattamento più appropriato. E’ indicata quando i dati raccolti tramite anamnesi ed esame obiettivo non sono sufficienti a stabilire una diagnosi certa e quando si sospetta la malignità di una lesione che non migliora clinicamente o che non guarisca entro 14 giorni dalla rimozione dei possibili agenti irritanti o traumatici. L’esame bioptico può essere effettuato sia sui tessuti molli che sui tessuti duri del cavo orale.

Esistono diversi tipi di prelievi bioptici; in base alla tecnica chirurgica distinguiamo la biopsia incisionale e la biopsia escissionale. La scelta della tecnica chirurgica è correlata al tipo di lesione, agli aspetti clinici, alle dimensioni e alla localizzazione. La biopsia incisionale consiste nell’asportazione di una porzione di tessuto patologico e di una porzione di tessuto circostante macroscopicamente sano al fine di ottenere una diagnosi istopatologica prima dell’intervento; è indicata in caso di lesioni maligne o sospette di diametro superiore al centimetro o in caso di lesioni benigne più grandi di 2 cm localizzate in aree importanti dal punto di vista estetico e funzionale. La biopsia escissionale consiste nella rimozione completa della lesione e di una porzione di tessuto circostante macroscopicamente sano per scopi diagnostici e contemporaneamente terapeutici; è indicata in caso di lesioni benigne di diametro inferiore o uguale a 2 cm o di lesioni clinicamente maligne di diametro inferiore o uguale a 1 cm. 






Rialzo di seno mascellare

Rialzo di seno mascellare

Le riabilitazioni implanto-protesiche sono, oggi, una valida e predicibile scelta per i pazienti parzialmente o totalmente edentuli. Il successo della terapia è rappresentato dalla bio-integrazione della vite all’interno del sito, testimoniata dall’apposizione di tessuto osseo a ridosso della sua superficie intera e dall’assenza di infezione e dolore. Affinché si possa pianificare una riabilitazione di questo tipo, è necessario che si disponga di una quantità minima di osso che garantisca stabilità agli impianti e, considerando che spesso i siti scelti sono edentuli da tempo e dunque atrofici, è spesso necessario eseguire manovre atte a ripristinare questo spessore minimo. Una di queste è il rialzo del seno mascellare. Il seno mascellare fa parte di un sistema di cavità ossee collegate alle vie aeree superiori denominato seni paranasali, organi deputati all’amplificazione della voce e all’alleggerimento del peso del cranio. La chiave del successo di questo intervento sta nel modificare l’anatomia di questa struttura in modo dal poter applicare gli impianti senza alterarne la funzione in modo irreversibile.

L’intervento può essere eseguito in anestesia locale previa approfondita valutazione radiologica della regione mascellare con esame TC Cone Beam o DentaScan, corretta profilassi antibiotica e riduzione della carica microbica del cavo orale con igiene professionale e sciacqui con clorexidina. L’accesso al sito può essere creato attraverso la cresta alveolare (mini rialzo) o attraverso la parete laterale (grande rialzo) mediante la creazione di una piccola finestra ossea. Scelta la sede, soprattutto in base allo spessore osseo naturale residuo, la prima fase è l’allestimento di un lembo mucogengivale a tutto spessore per visualizzare la parete ossea, che sarà poi opportunamente rimossa con strumenti dedicati, tra cui i manipoli piezoelettrici, che permettono di lavorare con maggiore sicurezza in queste zone. Il passo successivo sarà lo scollamento della membrana di rivestimento del sito, detta membrana di Schneider, dalla parete ossea, effettuato con strumenti manuali. Successivamente verrà inserito il materiale di riempimento, sia esso osso particolato autologo (in questo caso si richiede un doppio intervento in anestesia generale) o di altra natura come il Bio-os. Nel mini rialzo, gli impianti vengono inseriti contestualmente al rialzo, così come nei grandi rialzi ove sia presente uno spessore osseo naturale sufficiente. Nei grandi rialzi con gravi atrofie ossee sarà necessario attendere dai 6 ai 10 mesi per ottenere formazione di nuovo osso prima di inserire le viti implantari.

Dopo l’intervento è severamente vietato il consumo di tabacco. Le possibili complicazioni sono la lacerazione della membrana di Schneider e la creazione di una comunicazione oro-antrale, peraltro risolvibile nella stessa sede operatoria, sovrainfezione del materiale innestato, il rigetto dell’impianto.






Gestione chirurgica del paziente complesso

Patologie Cardiovascolari e Diabete

Gestione chirurgica del paziente complesso

Per paziente complesso si intende l’individuo, per lo più anziano, affetto da patologie croniche che ha una maggiore probabilità di andare incontro ad outcome negativo a seguito del trattamento chirurgico.
La gestione chirurgica del paziente complesso in studio odontoiatrico richiede un’opportuna consultazione preoperatoria e un notevole coordinamento interdisciplinare.

I casi complessi comprendono una vasta percentuale di pazienti che presentano patologie sistemiche tra cui, più frequentemente, il diabete e/o le malattie cardiovascolari.

Il diabete mellito è una malattia cronica che interessa il metabolismo protidico, lipidico e, soprattutto, glicidico. Il comun denominatore è dato da una carenza assoluta o relativa di insulina che determina livelli ematici di glucosio elevati.
Questo comporta una serie di alterazioni quali immunodeficienza, alterazioni vascolari e neurologiche, problematiche legate al metabolismo del collagene ed una ritardata guarigione dei tessuti. Nel distretto orale, come riportato più volte in letteratura, si correla spesso ad un’aumentata insorgenza della patologia parodontale.

Il diabete è considerata una patologia “a rischio” per le possibili complicanze durante il trattamento chirurgico. Da ciò nasce l’esigenza di rispettare le buone norme comportamentali per minimizzare i rischi:

  • eseguire un’accurata anamnesi e monitoraggio del paziente;
  • evitare il più possibile stress e traumi;
  • utilizzare anestetici senza vasocostrittori in presenza di severe comorbidità;
  • somministrare antibiotici a scopo profilattico;
  • valutare il quadro glicemico in fase prechirurgica.

A causa delle alterazioni del sistema immunitario è di grande importanza la prevenzione sia delle complicanze tardive postchirurgiche di natura infettiva dovute ad una alterata funzionalità dei globuli bianchi, sia del coma iperosmolare non cheto-acidosico, caratteristico del diabete insulino-indipendente.

I pazienti con diagnosi certa di diabete necessitano quindi di una valutazione sul tipo di diabete, sulla terapia farmacologica in atto, sulle patologie associate, sulla data dell’ultimo controllo medico e sul valore glicemico attuale.

Un ottimo parametro di riferimento è il valore della glicemia a digiuno: valori inferiori a 200mg/dl non ostacolano il trattamento, mentre sarebbe opportuno rimandare l’intervento di chirurgia elettiva quando la glicemia si aggira attorno a 200-250 mg/dl per evitare complicanze postoperatorie.


L’altra grande categoria di pazienti complessi comprende gli individui affetti da malattie cardiovascolari.
Nel trattamento chirurgico di questi pazienti è necessario adottare delle particolari attenzioni soprattutto in relazione alla specifica patologia che presentano.

- “Angina pectoris” è il nome dato agli episodi di dolore toracico causati dall’ischemia del miocardio; talvolta si può manifestare anche in seguito all’ansia e allo stress associati alle cure odontoiatriche. Pertanto gli appuntamenti non dovrebbero avere durata eccessiva e l’equipe dovrebbe essere in grado di rassicurare e confortare il paziente. La seduta operatoria dovrebbe essere programmata lontana dalle prime ore del mattino, quando si hanno livelli di adrenalina più elevati.
L’uso degli anestetici locali con vasocostrittore non è controindicato, tuttavia, è sempre fondamentale assicurarsi di non iniettarlo direttamente in circolo.

  • In caso di anamnesi recente di infarto del miocardio o angina è opportuno evitare l’uso della sedazione cosciente. In casi opportuni e con adeguata valutazione del medico di base, è possibile effettuare una premedicazione con benzodiazepine per ridurre l’ansia preoperatoria.
  • I pazienti che hanno un’anamnesi di infarto del miocardio negli ultimi sei mesi sono considerati a rischio maggiore di sviluppo di un nuovo infarto, pertanto è opportuno rinviare interventi particolarmente complessi.

- L’ipertensione è una condizione caratterizzata da valori di pressione arteriosa sistemica (PAS) costantemente elevati. Può essere definita da una pressione sistemica di almeno 140/90 mmHg, in base ad almeno due misurazioni in occasioni diverse.
Di per sé non è associata a manifestazioni orofacciali ma sono i farmaci antipertensivi di mantenimento che possono produrre vari effetti collaterali nel distretto orofacciale.
Una volta terminato il trattamento chirurgico, soprattutto se di lunga durata, è bene adottare importanti accortezze. In particolare, il paziente dalla posizione supina dovrebbe essere riportato in posizione eretta lentamente, per minimizzare il rischio di ipotensione posturale.
La gestione del paziente iperteso impone la necessità di menzionare il trattamento immediato della crisi ipertensiva (episodio isolato di PAS superiore a 200/110 mmHg) che, in genere per motivi emotivi, può manifestarsi in fase preoperatoria. E’ bene in tal caso distinguere l’urgenza dall’emergenza. L’emergenza necessita la riduzione dei valori pressori entro 4 ore con somministrazione endovena di farmaci antipertensivi e un rapido ricovero in ospedale. Al contrario, l’urgenza ipertensiva, meno grave, può avvalersi della somministrazione di farmaci antipertensivi per os e uno stretto follow-up ambulatoriale. Richiede la riduzione dei valori pressori entro le 24-48 ore dall’evento.


- L’endocardite infettiva è un’infezione rara ma pericolosa, che colpisce soprattutto le valvole cardiache danneggiate. Le lesioni cardiache che predispongono all’endocardite infettiva sono: difetti valvolari congeniti o acquisiti, protesi valvolari, difetti del setto interatriale o interventricolare, dotto arterioso pervio, cardiopatia congenita complessa, shunt sistemico-polmonari costruiti chirurgicamente, infarti miocardici pregressi, angioplastica coronarica, innesti di bypass coronarici, pacemaker cardiaci. Oltre al classico paziente cardiopatico, altri individui predisposti allo sviluppo del processo infettivo sono gli immunodepressi sia di tipo congenito che acquisito (AIDS) ed i pazienti anziani con un quadro di morbidità sistemiche piuttosto complesso che predispone ad una condizione di immunocompromissione.
In tutti questi casi è fondamentale che il chirurgo adotti misure preventive accurate in fase preoperatoria, in particolare per quel che concerne la profilassi antibiotica. Il paziente deve assumere per os 2 grammi di Amoxicillina + acido clavulanico un’ora prima dell’intervento chirurgico. In presenza di eventuale allergia al suddetto principio attivo si consiglia Clindamicina 600 mg un’ora prima dell’intervento. Queste precauzioni, associate a corrette metodiche di igiene orale pre- e postchirurgica riducono nettamente il rischio infettivo.




Casi clinici

Avulsione terzo molare



Asportazione di neoformazione cistica



Biopsia



Cheratocisti

Mascellare superiore



Chirurgia Preprotesica - Asportazione di un torus palatino



Trattamento chirurgico di comunicazione oro-antrale



Marsupializzazione di cisti dentigera relativa all'elemento dentario 46